
Kanada’da, görme yetisini kaybeden hastalar için devrim niteliğinde bir ameliyat gerçekleştirildi. Diş-göz ameliyatı olarak bilinen Osteo-Odonto Keratoprotez (OOKP) yöntemi, hastanın kendi dişinin kullanılarak göz içine yerleştirilmesiyle görme yetisini geri kazandırmayı amaçlıyor. Ülkede ilk kez başarıyla uygulanan bu yöntem, daha önce hiçbir tedaviden sonuç alamayan hastalar için yeni bir umut ışığı oldu.
Bu devrim niteliğindeki ameliyatı geçiren hastalardan biri olan Brent Chapman, çocuk yaşta geçirdiği Stevens-Johnson sendromu nedeniyle her iki gözünü kaybetmişti. Daha önce birçok tedavi yöntemini deneyen ancak başarılı sonuç alamayan Chapman, Vancouver’daki Mount Saint Joseph Hastanesi’nde uygulanan bu özel prosedüre başvurdu.
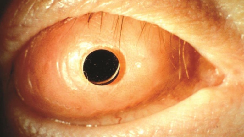
Dişler, Göz İçin Dayanıklı Bir Destek Sunuyor
Operasyonun başında yer alan Dr. Greg Moloney, dişlerin vücutta üretilen en sert madde olan dentin içerdiğini ve bunun göz için mükemmel bir destek sağladığını belirtti. Aynı zamanda, hastanın kendi dokusunun kullanılması, bağışıklık sistemi tarafından reddedilme riskini ortadan kaldırıyor. Bu nedenle OOKP, diğer tedavi yöntemlerinin başarısız olduğu durumlarda son çare olarak tercih ediliyor.
Zorlu ve İki Aşamalı Bir Operasyon
OOKP prosedürü iki aşamadan oluşuyor:
İlk aşamada, hastanın dişi çıkarılarak içi oyuluyor ve içine optik lens yerleştiriliyor. Ardından bu diş geçici olarak yanağa yerleştiriliyor. Burada yeni dokuların gelişmesi birkaç ay bekleniyor.
İkinci aşamada, bu diş yanağından alınarak gözün ön kısmına yerleştiriliyor. Ancak hastalar, görmeye başlamak için birkaç ay beklemek zorunda kalıyor ve prosedür sadece tek göz için uygulanabiliyor.
Başarı Oranı Yüksek Ancak Riskler de Var
Dr. Moloney, her göz ameliyatında olduğu gibi OOKP’nin de enfeksiyon ve komplikasyon riski taşıdığını vurguluyor. Ancak dünya genelinde yıllardır uygulanan bu yöntemin oldukça başarılı olduğu belirtiliyor. 2022’de yapılan bir araştırmaya göre, hastaların %94’ü ameliyat sonrası görme yetisini korumayı başardı.
Bu habere emoji ile tepki ver![]()
![]()
![]()
![]()
![]()
![]()
![]()

Haber Kaynak : SOZCU.COM.TR
“Yayınlanan tüm haber ve diğer içerikler ile ilgili olarak yasal bildirimlerinizi bize iletişim sayfası üzerinden iletiniz. En kısa süre içerisinde bildirimlerinize geri dönüş sağlanılacaktır.”
GÜNDEM
14 Şubat 2026SPOR
14 Şubat 2026GÜNDEM
14 Şubat 2026SPOR
14 Şubat 2026SPOR
14 Şubat 2026GÜNDEM
14 Şubat 2026GÜNDEM
14 Şubat 2026
1
Doğru emzirme yöntemleri nelerdir, sütün yettiği nasıl anlaşılır?
2091 kez okundu
2
Taylor Swift yeni albüm planları için düğmeye bastığını sosyal medyadan duyurdu!
1634 kez okundu
3
Bu kış kombinlere doyacağınız onlarca model ve onlarca detay.
1582 kez okundu
4
Takı ve makyaj uyumuna trend örnekleri sizler için derledik.
1546 kez okundu
5
Annelik duygusunun ortak tanımı diyebileceğimiz 10 başlık.
1525 kez okundu